PHẪU THUẬT THÀNH CÔNG CA BỆNH KHÓ

PHẪU THUẬT THÀNH CÔNG CA BỆNH KHÓ

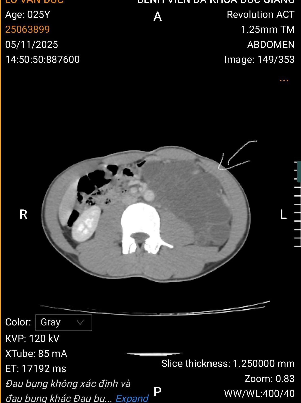
Các bác sĩ khoa Ngoại tổng hợp, Bệnh viện Đa khoa số 3 tỉnh Lào Cai vừa phẫu thuật thành công cho bệnh nhân L.V.Đ., 25 tuổi, quê Nậm Có – Lào Cai, mắc u Lymphangioma sau phúc mạc rất lớn biến chứng chèn ép tạng, một bệnh lý hiếm gặp và phức tạp.


Lymphangioma là một khối u lành tính hiếm gặp, phát triển từ hệ bạch huyết, thường xuất hiện ở trẻ em nhưng cũng có thể gặp ở người lớn. Khối u có thể xuất hiện ở nhiều vị trí, trong đó lymphangioma sau phúc mạc rất hiếm, thường tiềm ẩn nguy cơ chèn ép các tạng quan trọng. 

Sau khi được chẩn đoán bệnh tại bv tại Hà Nội, bệnh nhân đã lựa chọn trở về, đặt trọn niềm tin vào đội ngũ bác sĩ bệnh viện tuyến tỉnh để được điều trị và phẫu thuật.

Ca mổ được hội chẩn kỹ lưỡng, thực hiện an toàn và thành công, khối u được bóc tách trọn vẹn bảo toàn tối đa các tạng,sau mổ bệnh nhân hồi phục ổn định.

Thành công này không chỉ là một ca mổ hiếm gặp được xử trí trọn vẹn, mà còn là câu chuyện đẹp về niềm tin – khi người bệnh tin vào chuyên môn, vào y đức và trái tim của những người thầy thuốc ngay trên chính quê hương mình.

Để lại bình luận của bạn

Hãy là người đầu tiên
bình luận trong bài