BỆNH LAO – ĐỪNG CHỦ QUAN VỚI NHỮNG CƠN HO KÉO DÀI

BỆNH LAO – ĐỪNG CHỦ QUAN VỚI NHỮNG CƠN HO KÉO DÀI

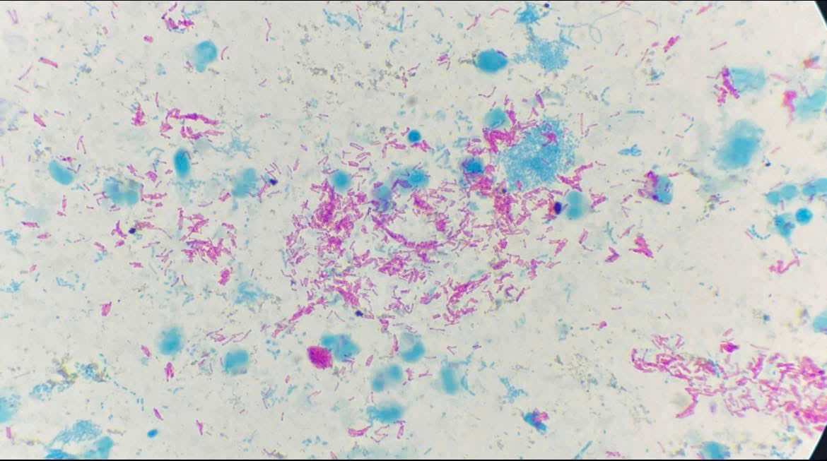
Thời gian gần đây, khoa Xét nghiệm – Bệnh viện Đa khoa số 3 Lào Cai đã phát hiện nhiều mẫu đờm dương tính với vi khuẩn Lao (Mycobacterium tuberculosis) bằng kỹ thuật sinh học phân tử Gene Xpert và nhuộm Ziehl–Neelsen.

👉 Bệnh Lao là bệnh truyền nhiễm nguy hiểm do vi khuẩn Mycobacterium tuberculosis gây ra, có thể lây qua đường hô hấp khi người bệnh ho, hắt hơi hoặc nói chuyện.

⚠ Dấu hiệu nghi ngờ Lao phổi:

Ho kéo dài trên 2 tuần

Ho ra đờm, đôi khi có máu

Sốt nhẹ về chiều, ra mồ hôi trộm

Sụt cân, mệt mỏi, chán ăn

💡 Bệnh Lao hoàn toàn có thể chữa khỏi nếu được phát hiện sớm và điều trị đúng phác đồ. Nếu bạn hoặc người thân có ho kéo dài, sốt nhẹ, sụt cân, hãy đến Bệnh viện Đa khoa số 3 Lào Cai để được xét nghiệm đờm tìm vi khuẩn Lao.

👉 Bảo vệ bản thân và cộng đồng – hãy đi xét nghiệm Lao khi có ho kéo dài!


Ảnh: Vi khuẩn Lao (Mycobacterium tuberculosis) bắt màu đỏ hồng đặc trưng trên lam nhuộm soi đờm (phương pháp Ziehl–Neelsen).

Để lại bình luận của bạn

Hãy là người đầu tiên
bình luận trong bài